利用单细胞和空间技术引领药物研发的变革

为未来的疗法精准锁定靶点
痛点
难以选择最佳靶点
传统工具对疾病生物学的了解不够全面,因此很难区分好的靶点和坏的靶点。
单细胞和空间多组学如何起作用
揭示隐藏的生物学特征,实现更好的靶点选择
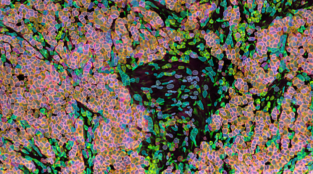
通过更深入了解细胞异质性和驱动疾病病理的背景,鉴定和验证可行的靶点。
我们正在使用[10x Genomics technology]进行靶点鉴定,以便更好地了解疾病并寻找新的药物靶点。我们通过高分辨率分析获得了这张令人惊叹的视图,这样就能够了解我们感兴趣的各种不同疾病中细胞之间的差异。Sophia Wild博士诺华公司首席科学家
单细胞和空间技术在靶点鉴定和验证中的应用

功能基因组学
通过单细胞CRISPR筛选来鉴定和验证可成药的靶点

疾病病理学
分析异质性以及与疾病进展和应答有关的稀有细胞类型

生物标志物发现
鉴定/验证生物标志物,以预测疾病对治疗干预的预期反应

表观遗传学发现
精准定位驱动疾病进展的表观遗传修饰

AI赋能的发现
将多模态数据与人工智能(AI)相结合,发现新的靶点和生物标志物
精选文献
精选文献
突出了疾病特异性的生态位如何驱动病理学,为寻找可成药的靶点提供了可行的见解。
确定通过scRNA-seq鉴定出的具有细胞特异性表达的靶点更有可能进入临床开发阶段并通过1期临床试验。
其他特色资源
更深入地了解机制,更有效地确定先导化合物的优先级
痛点
难以改进候选化合物的选择
低效的苗头化合物(hit)筛选工具无法以必要的细节水平解析治疗效果和机制。
单细胞和空间多组学如何起作用
揭示治疗机制,优先选择最佳的先导化合物
在细胞水平上评估候选先导化合物在不同细胞群和通路中的作用机制(MOA)。

我们的结果表明,scBCR-seq可与高质量的抗原特异性B细胞分选相结合,以便快速发现大量、多样化的高亲和力抗原特异性抗体组合,它们带有天然配对的重链和轻链。Goldstein LD, et al. Commun Biol. 2: 304 (2019).根据CC BY 4.0协议引用和使用图片查看文献
单细胞和空间技术在候选化合物开发中的应用

苗头化合物发现和筛选
鉴定对理想治疗靶点表现出潜在活性的初始治疗候选化合物(包括抗体)

从苗头到先导化合物的优化
改进初始的苗头化合物(包括有潜力的抗体),以改善其特性,如有效性、选择性和药代动力学等
精选文献
精选文献
解析抗原反应性B细胞谱系,可靠地确定高亲和力抗体,以加快候选化合物的优化和验证。
从多个维度了解基因敲入构建体诱导的T细胞状态和转录程序,对有潜力的候选化合物进行精准的功能验证和改进。
其他特色资源
通过更深入的临床前见解优化研究性新药(IND)的准备工作
痛点
对MOA、药效动力学、药代动力学、毒性和安全性的了解有限
缺乏可靠的分子数据,因此对疗法的ADME/毒性、有效性和安全性的预测不准确。
单细胞和空间多组学如何起作用
获得高分辨率的临床前数据,为IND申请提供支持
获得细胞和组织水平的MOA、有效性和安全性数据,以便选择最好的药物-靶点组合进入试验阶段。

临床前团队联系我们开展了单细胞RNA测序,目的是了解哪些细胞类型负责产生干扰素反应基因。我们能够找到与TLR7激动剂治疗相关的基因特征。Emilio Yangüez博士罗氏公司高级科学家
单细胞和空间技术在临床前开发中的应用

作用机制研究
利用临床前模型评估治疗的作用机制

毒性和安全性
利用临床前模型监测和评估药物的毒性和安全性

药代动力学/药效动力学
分析治疗化合物的生物分布及其对细胞和组织的影响

免疫原性评估
评估候选药物引发免疫反应的可能性

有效性和应答研究
在临床前研究中评估药物的有效性和应答
精选文献
精选文献
展示了TGFβ阻断如何重塑肿瘤微环境,以提高免疫治疗的效果,为这一组合策略的有效性提供了强有力的临床前证据。
揭示了在接受TCDD治疗后肝脏中细胞特异性的转录反应和群体变化,对了解TCDD诱导毒性的机制至关重要。
揭示了一个罕见的神经细胞群,它也许能解释接受CD19 CAR-T细胞疗法的患者因脱靶而出现的神经毒性。
强调了细胞的空间结构及其相互作用往往对了解治疗应答至关重要,并为使用配体-受体活性作为治疗应答的预测性标志物提供了证据。
其他特色资源
通过高分辨率的洞察提高临床试验的成功率
痛点
对治疗应答和耐药的生物学机制了解不准确,导致试验面临风险
不完全了解决定应答和耐药的机制会增加临床试验失败的几率。
单细胞和空间多组学如何起作用
更全面地了解患者群体的治疗应答
更好地了解应答和耐药,并确认MOA、有效性和安全性/毒性,以减少后期失败。

我们在临床试验中发现了BRAF/MAPK抑制与免疫反应之间合作的潜在机制,我们认为这是首批对所有患者的治疗前和治疗中肿瘤活检配对样本进行系统性scRNA-seq分析的临床试验之一。Tian J, et al. Nat Med. 29 (2023).根据CC BY 4.0协议引用和使用图片阅读与这项2期试验有关的博客
单细胞和空间技术在临床试验中的应用

作用机制研究
在临床试验样本中评估治疗的作用机制(MOA)

毒性和安全性
在临床试验样本中监测和评估药物的毒性和安全性

药代动力学/药效动力学
分析治疗化合物的生物分布及其对细胞和组织的影响

免疫原性评估
评估候选药物引发免疫反应的可能性

有效性和应答研究
在临床试验样本中评估药物的有效性和应答
精选文献
精选文献
证明了空间生物标志物与治疗应答之间存在很强的关联。
确定了与积极应答有关的T细胞克隆和动态,显示了外周生物标志物在疾病监测中的作用。
描述了在治疗成功或耐药中发挥关键作用的肿瘤微环境特征。
突出了TIME内的细胞多样性,并确定了不同治疗方案之间的主要病理缓解差异。
揭示了疫苗接种如何影响接种后的免疫组库,并验证了这种治疗策略的有效性。
阐明了促进治疗应答以及有可能减轻肿瘤对标准疗法耐药性的转录机制。
其他特色资源
为药物开发每个阶段量身定制的工具
| 平台 | |||
| 何时使用 | 全面的单细胞数据 适用于细胞群体和状态的深度表征 | 高分辨率的空间基因表达 了解复杂组织、细胞邻域和细胞间相互作用。与其他空间多组学、组织学和形态学方法整合。 | |
| 为何使用 | 无偏的单细胞发现 每个基因的灵敏度高 | 无偏的空间发现 | 靶向的空间探索 每个基因的灵敏度高 |
| 分析物 | 全转录组基因表达 蛋白质 TCR, BCR CRISPR ATAC | 全转录组基因表达 | 靶向基因表达(多达5,000个基因) |
| 分辨率 | 单细胞 | 分配在2-µm区域内的转录本 | 单细胞 |
| 数据产出 | 基于NGS | 基于NGS | 基于成像 |
| 样本兼容性 | 细胞和细胞核悬液 组织(新鲜、冷冻、FFPE、PFA固定) 流式分选的细胞 固定的全血和PBMC 类器官 | FFPE样本 新鲜冷冻样本 固定冷冻组织 | 新鲜冷冻样本 FFPE样本 |



















